Needle Identification
Oct 1, 2022
ยท
1 min read

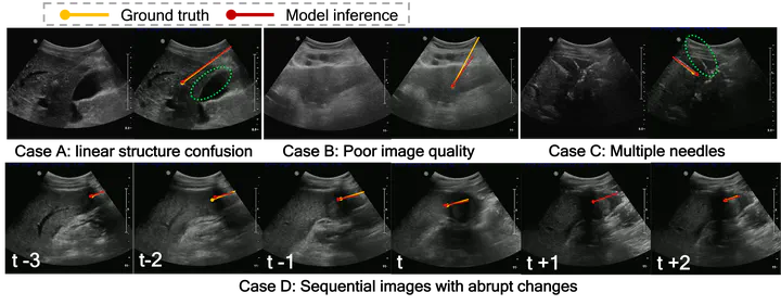
Objective: In US-guided percutaneous thermal ablation, to eradicate the entire cancerous cells, accurately inserting the needle (i.e., ablation applicator) into the tumour as planned is a crucial step during real-time US guidance. However, due to complex US artifacts and image contrast between the needle and adjacent tissues, identifying the needle, particularly the needle tip, has been considered as a difficult problem. Therefore, our work aims to develop a deep learning-based approach using acquired sequential US frames for real-time needle identification.
References
[1] Deep learning-based Needle Tracking in US-guided Percutaneous Liver Tumor Ablations. (see detail)